近日,东软智能医疗科技研究院正式发布基于医学影像分割大模型的飞标医学影像标注平台4.0版,同时飞标医学影像标注公共云服务平台也做了同步升级。飞标4.0版借助医学影像分割大模型MISM(Medical Image Segmentation Model)赋予的能力,具有更高效、更精准、更智能、可扩展等特点,使医学影像标注的效率和质量再上新台阶,推动医学影像标注跨入新时代。
飞标平台是一款基于Web的支持多人、多团队协同工作的医学影像标注平台,提供基于web的高级三维可视化技术,具有自动、半自动、手工标注以及算法预标注等多种模式,支持二维、三维视图标注,支持私有云、公有云、SaaS多租户等多种应用模式。飞标平台自2021年推出以来,得到用户的广泛认可和好评,目前基于飞标平台标注的医学影像数据已达2000多万张。

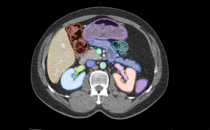
腹腔器官标注
医学影像具有特殊性和复杂性,不同于日常的二维图像,医学影像都是三维数据,目标对象的边缘时常不够清晰,分割难度大,专业性强。基于这些特点,东软智能医疗科技研究院通过深入研究在医学影像领域预训练大模型技术,通过“预训练大模型+下游任务微调”的方式,有效地从大量标记和未标记的数据中捕获知识,扩展模型的泛化能力,解决了模型碎片化问题,为人工智能+医疗提供了崭新的技术路线,为突破现有算法性能的瓶颈提供了无限可能。同时,结合了东软自身积累的多种多样的带有标注数据的大量数据集,对预训练大模型进行二次训练,并针对医学影像的三维特点进行优化,推出了医学影像分割大模型MISM,进一步提高了医学影像标注的质量和效率。

医学影像分割大模型MISM
飞标平台借助医学影像分割大模型MISM进行了全新升级,4.0版实现了通过一个点、一个边界框,一键分割出病灶或解剖结构的功能,能够更精准的连续逐层标注。此外,飞标4.0版支持集成第三方的预标注算法,使飞标平台具有了功能可扩展的开放性。

胸腔血管三维可视化
1、提供像素级精准标注,提升精准性——提供基于像素级的标注工具,标注精度可达到1像素。还可对疑似病灶进行自动预标注,减少漏标、误标情况。
2、提供高效自动化工具,提高标注效率——结合影像组学算法、人工智能模型,集成了大量的自动、半自动标注工具,通过影像自身特征和智能模型双重计算,快速识别标注内容和边界,从而大幅提高效率。
3、智能化工具,加速全流程——通过大量智能化、自动化工具加快医学标注工作全流程的整体效率,包括影像预标注、标注工具智能化、标注结果自动优化。
4、自动标注+人工审核,加速高质量标注数据集落地——自动勾画、半自动勾画、手工勾画相结合,实现自动检测病灶、自动分割病灶、结合人工介入的审核优化构建,高质量标注数据集,加速医疗影像智能模型落地应用。
5、高级可视化,提高标注效率和准确率——通过大量的基于web的三维可视化技术,让使用者从二维标注扩展到全面了解病变情况的三维环境,并提供基于三维立体交互式分割技术,让标注更智能。
东软智能医疗科技研究院是东软集团成立的以智慧医疗产业重大问题为导向、以人工智能技术突破为核心、以开放共享和领域交叉为特色的“产学研医用”协同创新平台。自2018年至今,东软智能医疗科技研究院已推出多个共性技术平台产品并应用于国内40多家医疗机构,与20多家医疗机构建立了医工协同创新合作,与国内多家知名大型三甲综合医院共同承担国家重大战略科技任务,并与产业合作伙伴一起进行成果转化。
未来,东软将继续通过医学与科技的融合,开展临床实践的数字化、临床方法的工程化与平台化,用数字化技术支持新临床方法的探索与研究,为个性化、精准、高效的医疗服务,医院的学科发展、医学创新、卓越运行,以及医疗体系改革提供创新的方法,服务于人类健康与医疗事业发展。
关键词: